

診療時間 9:00~12:00 / 14:45~18:45
※土曜午前は13:00まで
※最終受付は30分前まで
休診日木曜午後・土曜午後・日曜・祝日
※往診も行っております
※根管治療(根の治療)専門医が在籍
※保存治療(歯を残す治療)専門医が在籍
kidsroom
2009.11.25
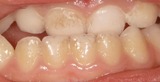
いちかちゃんは 歯磨き粉をつけて磨くのを嫌がるので
歯に食べ物やお茶の色がついてきました。
3歳になったので、今日はできるよ〜
ブラシで歯の着色を落とすと
ほ〜ら

ぴっかぴかになったわね
笑顔もぴっかぴか

お母様方から
子どもさんが、歯磨きペーストをつけて磨くと嫌がると
いう ご相談を受けることがあります。
基本的には、歯ブラシで磨ければ、ペーストをつけなくても
問題ありませんが
いちかちゃんのように、食べ物や飲み物の色が
歯に着きやすくなります。
いちかちゃんの場合、
お母様が、歯磨きのペーストをたっぷりつけていらっしゃったようなので
量を減らすようにお願いしました。
また、奥歯は、ペーストを着けず
前歯を磨くときだけ、少しペーストを着けてペーストの味に慣れてもらうよう
お願いしました。